Wisdom Teeth Removal in Geraldton
Patients in Geraldton and the Mid West region can access specialist wisdom teeth surgery without needing to travel to Perth. Dr Franc Henze, an Oral and Maxillofacial surgeon with over 25 years of experience, has been consulting and operating in Geraldton for approximately 15 years. He is the only specialist Oral and Maxillofacial surgeon who regularly travels to the Geraldton region.
Dr Henze provides consultations at Smileworx Geraldton and performs all wisdom teeth surgery under general anaesthetic at St John of God Geraldton Hospital, delivering the same specialist standard of care available in Perth.

Consultation & Surgery Schedule in Geraldton
- Consultations: Dr Henze consults in Geraldton once per month at Smileworx Geraldton, 131 Brand Highway.
- Surgery: Surgery is performed at St John of God Geraldton Hospital one Friday per month. St John of God is fully equipped for general anaesthesia, meaning you sleep through the procedure just as you would in a major Perth hospital.
- Timeline: The typical time between consultation and surgery is one to four weeks, depending on availability.
Travel and Accommodation Advice for Geraldton Patients
If you are travelling from Kalbarri, Carnarvon, Meekatharra, Mullewa, or surrounding areas for your surgery, we recommend staying overnight in Geraldton after your procedure, particularly if you are more than an hour's drive from the hospital. This is a general guideline for your safety and comfort. You will need a responsible adult to collect you from the hospital and drive you home, as you must not drive for 24 hours after a general anaesthetic.
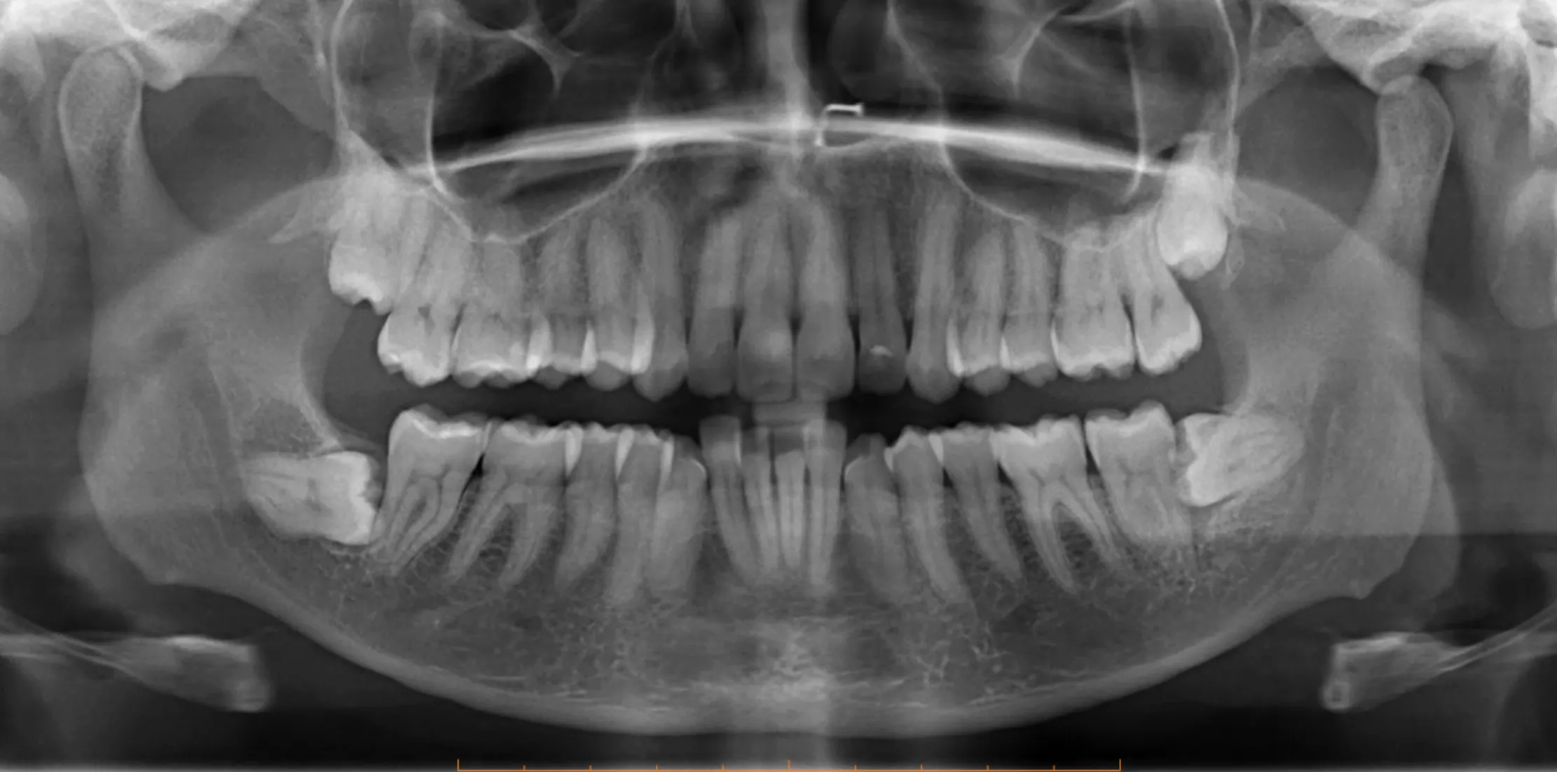
The Wisdom Teeth Removal Procedure
All wisdom teeth surgery is performed under general anaesthetic at St John of God Geraldton Hospital. This means you are fully asleep throughout the procedure, just as you would be in a major Perth hospital.
- Surgery: The surgical technique depends on the position and complexity of each tooth. For a straightforward erupted wisdom tooth, the extraction may simply involve elevating and removing the tooth.
- Impaction: For impacted teeth, a small incision is made in the gum, and in some cases, a small amount of bone around the tooth is removed to gain access. The tooth may be sectioned into pieces to make removal easier and minimise the amount of bone that needs removal.
- Cleaning: The wound is then cleaned and closed with dissolvable stitches, which typically dissolve within two to three weeks.
The procedure itself generally takes between 30 minutes and one hour, depending on how many teeth are being removed and the degree of impaction. Most patients are discharged from the hospital on the same day.

Post-Operation Recovery in Geraldton
Most patients see a significant improvement within about one week. Pain and swelling typically peak around days two and three, then gradually improve from day four. Facial swelling and bruising generally resolve within 10 to 14 days. You will receive detailed post-operative care instructions one week before your surgery, covering oral hygiene, diet, medication, and what to expect during recovery.
Wisdom Teeth Extraction Recovery: DO's and DON'Ts
Frequently Asked Questions
- How much does wisdom teeth removal cost in Geraldton? The cost of wisdom teeth removal in Geraldton is the same as in Perth and depends on the complexity of the surgery. An itemised quote will be provided at your consultation.
- I live in Geraldton. Do I need to travel to Perth for a consultation? No. Dr Henze consults in Geraldton once every month. Contact Dr Henze's friendly team on 9344 3907 to book a consultation.
- How long has Dr Henze been operating in Geraldton? Dr Henze has been consulting and operating in Geraldton for approximately 15 years, since he began in private practice.
- Is the surgery the same quality as in Perth? Yes. St John of God Geraldton is fully equipped for general anaesthetic procedures, offering the same standard of specialist care that patients would receive in Perth.
- How long is the wait for a consultation and surgery in Geraldton? Consultations are generally available within one to four weeks. Surgery is typically scheduled within one to four weeks of your consultation, depending on availability and urgency.
- What if I have an emergency after Dr Henze has returned to Perth? You can call the after-hours number provided in your post-operative care instructions. Your local dentist or hospital emergency department can also assist, and your dentist can contact Dr Henze directly if needed.
- Will I be under a general anaesthetic? Yes. All wisdom teeth surgery is performed under general anaesthetic at St John of God Geraldton Hospital.
- Can I drive myself home after surgery? No, after a general anaesthetic you are not allowed to drive or handle machinery for 24 hours. It is essential to organise a family member or friend to drop you off and pick up from the hospital.
- Do I need a referral? Yes, a referral from your dentist is required to claim Medicare rebates. Patients can self-refer, but will not receive a rebate without a valid referral.
Book Your Wisdom Teeth Consultation in Geraldton
Contact the team at Western OMS today to schedule your consultation with Dr Franc Henze in Geraldton. Call (08) 9344 3907 or use our online contact form.
.webp)
.webp)