Wisdom Teeth Removal in Perth
At Western OMS, Dr Franc Henze specialises in the safe and effective removal of wisdom teeth for patients across Perth. Our procedures are done under general anaesthetic in a private hospital setting to ensure maximum patient comfort, safety, and the ability to handle complex impactions seamlessly.
With over 25 years of surgical experience, Dr Henze is a highly qualified oral and maxillofacial surgeon. He operates at several leading Perth day surgeries and hospitals, and is colloquially known as the ‘Molar Master’ due to his experience and expertise.

Why Remove Wisdom Teeth?
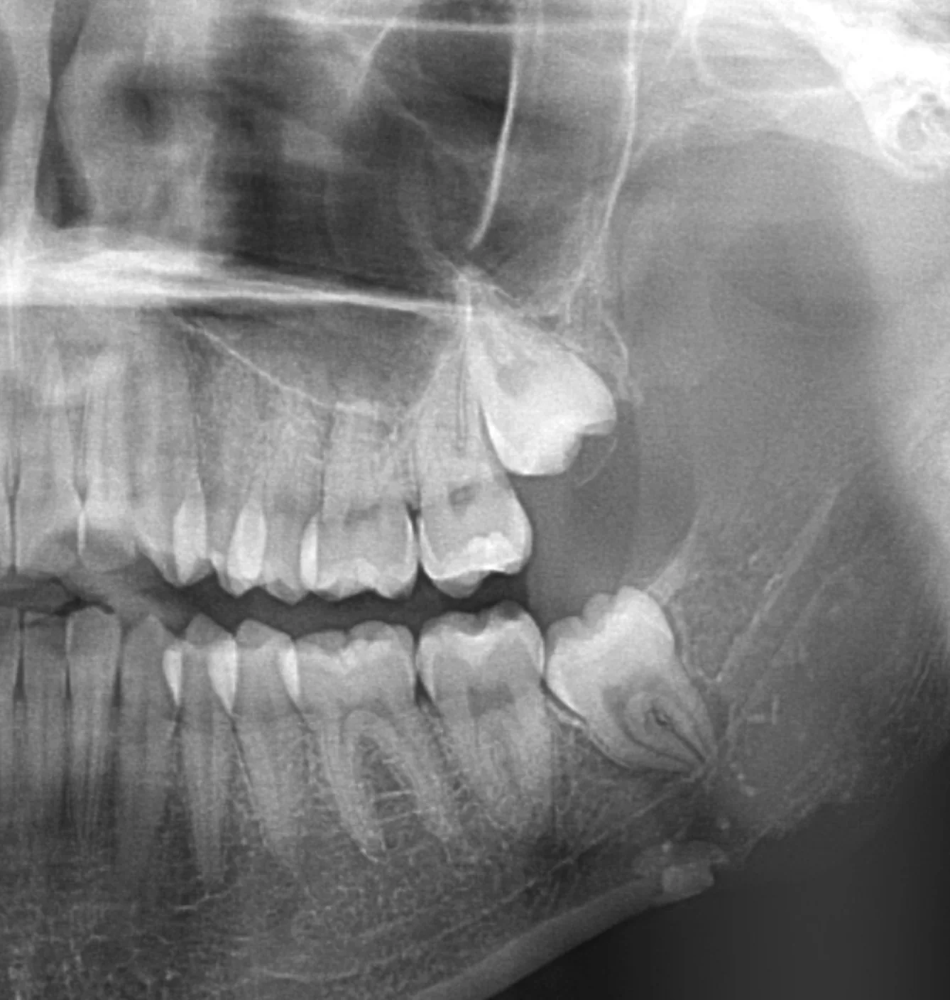
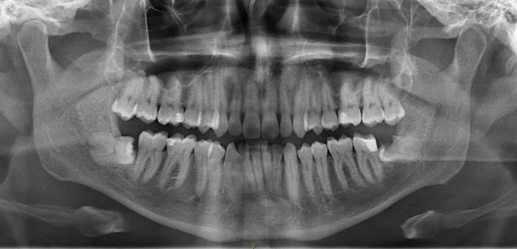
Wisdom teeth, or third molars, often cause issues when they fail to emerge properly or become impacted. If there isn’t enough space in the jaw, these teeth may become trapped beneath the gums, grow at awkward angles, or crowd surrounding teeth. This can lead to pain, infection, decay, and other oral health problems, which is why dentists often recommend their removal. Wisdom teeth removals are done to:
- Prevent Overcrowding: Wisdom teeth can push other teeth out of alignment, leading to crooked teeth and bite issues
- Avoid Infections: Partially erupted wisdom teeth are prone to bacterial infections
- Stop Cyst Formation: Impacted teeth can lead to cysts, which may damage surrounding bone and teeth
The Wisdom Teeth Removal Procedure
Before Surgery
- Referral and Imaging: The process begins with a referral from your dentist, along with a recent OPG X-ray. Dr Henze’s team can arrange a request form for you to have this completed at SKG Radiology. An appointment is not required for the OPG. X-rays are used to assess the position and condition of the wisdom teeth.
- Consultation: At your consultation, Dr Henze will examine you, review your imaging, and explain the surgical plan. Consultations in Nedlands take place on Tuesdays and Wednesdays.
Preparing for the Surgery
To help your surgery and recovery go as smoothly as possible, please follow these pre-operative instructions:
- Travel Arrangements: Arrange for a responsible adult to drive you to and from the hospital, as you will not be permitted to drive yourself home after a general anaesthetic.
- Grooming: On the morning of surgery, wash your face, body and hair with your usual soap and shampoo. Remove all make-up, jewellery and facial piercings. Men should shave all facial hair.
- Smoking/Vaping: We advise patients not to smoke or vape for one week before and two weeks after surgery to enable effective healing and prevent complications.
- Comfort: Wear comfortable, loose-fitting clothing. Bring a book or something to pass the time in case of surgical delays, and leave valuables at home.
- Fasting: Due to the general anaesthetic, fasting is necessary before surgery. Dr Henze's secretaries will discuss fasting time requirements with you.
If you are a country patient, we recommend staying overnight in Perth following your procedure. For patients in the Great Southern or Mid West regions, Dr Henze also performs wisdom teeth removals in Albany and wisdom teeth removals in Geraldton.
During the Procedure
Dr Henze performs wisdom teeth extractions with general anaesthesia for patient comfort. General anaesthetic allows Dr Henze to work efficiently and precisely, particularly when dealing with complex impactions. Unlike local anaesthetic in a dentist's chair, you will be fully sedated with no memory of the procedure, and no pain during it.
Once you are asleep, Dr Henze injects a local anaesthetic agent into the surgical sites. This reduces bleeding, allows the anaesthetist to use less medication, and ensures you wake up numb, preventing pain for the first few hours after surgery.
- Surgery: The surgical technique depends on the position and complexity of each tooth. For a straightforward erupted wisdom tooth, the extraction may simply involve elevating and removing the tooth.
- Impaction: For impacted teeth, a small incision is made in the gum, and in some cases, a small amount of bone around the tooth is removed to gain access. The tooth may be sectioned into pieces to make removal easier and minimise the amount of bone that needs removal.
- Cleaning: The wound is then cleaned and closed with dissolvable stitches, which typically dissolve within two to three weeks.
The procedure itself generally takes between 30 minutes and one hour, depending on how many teeth are being removed and the degree of impaction. Most patients are discharged from the hospital on the same day.

Post-Operative Care
Recovery experiences for wisdom teeth surgery vary from person to person, but most patients see a significant improvement within about one week. Here is a general timeline of what to expect.
Days 1 to 3
Upon waking from the anaesthetic, you will experience numbness around the mouth. Pain and swelling typically peak around days two and three. This is normal. Stick to a soft, non-chewable diet (pumpkin soup consistency or mashed potatoes). Apply external ice packs for the first 48 to 72 hours to help reduce swelling, using a cloth barrier between the ice and your skin, 30 minutes at a time with rest periods in between. Sleep with your head slightly elevated on an extra pillow.
Days 4 to 7
Swelling and discomfort should begin to subside from day four. You can gradually introduce more solid foods as comfort allows, but continue to avoid grainy foods such as rice and multigrain bread, which can become lodged in the wounds. Light physical activity is generally possible within a few days, but listen to your body.
Weeks 2 to 3
Facial swelling, bruising (inside and outside the mouth), and limited mouth opening are common and generally resolve within 10 to 14 days. Dissolvable stitches will come away on their own within two to three weeks. Swimming (freestyle and open water) should be avoided for two weeks.
Post-op Oral Hygiene
- Oral Hygiene: Start the day after surgery. Gently rinse with warm salt water after every meal for 1-2 weeks. Use Chlorhexidine mouthwash (e.g., alcohol-free Savacol) morning and night. You can resume brushing your teeth within one to two days, taking care to avoid the wounds.
- Bleeding: If bleeding continues, place a wet cotton wool bite pack over the site and bite down firmly for approximately 30 minutes while resting in a semi-upright position.
- Sinus Precautions (if advised): If you require sinus precautions, avoid forceful nose blowing, sneezing with a closed mouth, drinking through a straw, and air travel for 3-4 weeks.
Wisdom Teeth Extraction Recovery: DO's and DON'Ts
Which hospitals does Dr Henze operate in?
In Perth, Dr Henze performs wisdom teeth surgery at several private hospitals.
- Bethesda Health Care (Claremont)
- Cambridge Day Surgery (Wembley)
- Southbank Day Surgery (South Perth)
- Subiaco Private Hospital (Subiaco)
- Sundew Day Surgery (Joondalup)
Regional patients can have their surgery performed at Albany Day Hospital or St John of God Hospital in Geraldton. All hospitals are equipped for general anaesthesia, meaning you receive the same standard of care regardless of location.
Consultation and Surgery Schedule
Dr Henze consults at the Nedlands practice on Tuesdays and Wednesdays. Surgery in Perth is performed Monday to Thursday. For Albany and Geraldton patients, Dr Henze consults once every four weeks and operates on Fridays. Contact the practice for the next available appointment.
Frequently Asked Questions for Wisdom Teeth Removal
- Do I need a referral? Yes, a referral from your dentist is required to claim Medicare rebates. Patients can self-refer, but will not receive a rebate without a valid referral.
- What rebate can I get from my private health insurance? This will need to be verified with your health fund. During your consultation, we give you an itemised quote with costs and item numbers.
- How painful is wisdom teeth removal? It is generally not painful upon waking up due to the local anaesthetic injected during surgery. Some patients simply take a short course of Panadol and anti-inflammatories. Our anaesthetist can provide a prescription for pain medication if needed.
- Which day is most painful after wisdom teeth removal? Pain and swelling typically peak around days two and three after surgery. This is normal and should gradually improve from day four onwards.
- How much does wisdom teeth removal cost? It depends on the complexity of the surgery. An itemised quote will be provided at your consultation that you can check with your health fund for rebate estimates. Full payment is required one week prior to surgery, and rebates can be claimed afterwards.
- When can I drive or fly after surgery? You cannot drive, handle machinery, or fly for 24 hours after a general anaesthetic.
- Is there parking at the Nedlands clinic? There is both paid and free parking available on Hampden Road, Nedlands. As we are close to both Hollywood Private Hospital and Sir Charles Gairdner Hospital, parking is always busy in our area. Please allow plenty of time! We have space for two cars at the side of our building against the fence if needed, the entrance faces Monash Avenue.
- Is Dr Henze a preferred provider with any health funds? No, Dr Henze is not a preferred provider with any health funds. The surgical fee is payable in full one week prior to your scheduled surgery date.
- How long is the wait for a consultation and surgery? Consultations are typically available within one week. Surgery is usually scheduled within one to four weeks of your consultation, depending on availability and urgency.
- How soon after wisdom teeth removal can I eat? That same day. Initially, it’s recommended to eat a very soft non-chewable diet, such as pumpkin soup or mashed potatoes.
- What can I eat after surgery? Stick to soft food, nothing too hot or cold. Avoid rice or grains, which can easily get stuck in the wounds.
- How to sleep after wisdom teeth removal? Whatever position you find most comfortable is fine. It is beneficial to sleep with your head slightly elevated on an extra pillow to help with swelling.
- Can I choose my own anaesthetist? No. Western OMS will provide an experienced anaesthetist who is familiar with Oral and Maxillofacial surgery procedures.
- How long does facial swelling last after wisdom teeth removal? Approximately 10-14 days.
- Can I drive myself home after surgery? No, after a general anaesthetic you are not allowed to drive or handle machinery for 24 hours. It is essential to organise a family member or friend to drop you off and pick you up from the hospital.
- When can I play sport after surgery? Light physical exercise is possible within a few days, however we recommend waiting a week and then doing a self-assessment. With freestyle and open water swimming, we recommend a break of two weeks.
- When can I smoke/vape after surgery? We advise patients not to smoke or vape for one week before and two weeks after surgery to enable the most effective healing and prevent postoperative complications.
- When can I drink alcohol after surgery? It is not recommended to drink alcohol within 24 hours of surgery. Alcohol is contraindicated with certain medications - please check with your Doctor regarding this.
- Does Dr Henze only consult out of Nedlands? In Perth, Dr Henze consults in Nedlands at Unit 2 / 1 Hampden Road. However, for our country patients, Dr Henze consults out of Geraldton and Albany.
- Is there a weight/BMI limit for surgery? Every private hospital in WA has a weight and BMI limit. The hospitals where we operate allow for a BMI of up to 45. The hospital's weight limits range from 120-150kg, depending on the hospital.
Book Your Wisdom Teeth Consultation in Perth
If you or your child are experiencing discomfort or dental issues related to wisdom teeth, contact the team at Western OMS today to schedule a consultation.
.webp)
.webp)